24小时免费服务热线:
0833-120

医德高尚暖人心 医术精湛传四方 ——神经外科成功救治内蒙古游客

发表时间:2025-09-01 08:48

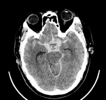
近日凌晨,峨眉山市人民医院急诊科接到内蒙古游客求救电话,55岁的鞠先生来峨眉旅游,突发剧烈头痛、呕吐,救护车随即出发,凌晨2点25分将患者接回医院,急诊头颅CT显示:大量蛛网膜下腔出血。神经外科副主任医师杨志敏立即前往急诊科会诊,根据多年丰富的临床经验,杨志敏医生判断患者为颅内动脉瘤破裂导致的蛛网膜下腔出血,急诊CTA影像结果提示:患者颅内前交通动脉及左侧大脑中动脉分叉处分别有9.5*7.7mm和7.4*5.6mm两个动脉瘤,随时可能再次破裂。



图片
图片



杨志敏医生根据患者病情,制定了详尽的手术方案:急诊行支架辅助颅内动脉瘤栓塞术,一次性同时处理两个颅内动脉瘤。经过术前检查及积极准备,手术于当日下午4点半进行,经过近3小时鏖战,手术顺利,患者两个颅内动脉瘤致密栓塞,载瘤动脉通畅。患者术后送ICU,看到患者麻醉复苏后清醒过来,四肢活动良好时,杨志敏医生终于露出了欣慰的笑容。


经过后续治疗,患者恢复良好,出院前,患者家属特意制作了两面锦旗,一面送给神经外科全体医护人员:“医德高尚暖人心 医术精湛传四方”,一面特意送给杨志敏医生“医技医德赛华佗 心热似火如家人”,这面两锦旗不仅承载着患者的感激,更是对我院“以患者为中心”服务理念的生动诠释,也是对神经外科和杨志敏医生视患者如家人的感谢。


图片


神经外科是一门专注于大脑、脊髓和神经系统的医学专业,就是通常说的“脑外科”,神经外科医生处理的问题包括脑肿瘤、椎管内肿瘤、脑出血、神经系统创伤(脑外伤或脊髓损伤)、脑血管疾病(颅内动脉瘤、血管畸形等)、神经系统感染和一些其他神经系统疾病(癫痫、三叉神经痛、面肌痉挛等)。

峨眉山市人民医院神经外科是乐山市医学重点专科(甲级)、峨眉山市临床重点专科。2018年起,神经外科在本区域率先开展神经外科介入治疗,目前开展了全脑血管造影术、颅内动脉瘤弹簧圈栓塞术、支架辅助颅内动脉瘤栓塞术、血流导向装置植入术、动静脉畸形栓塞术、海绵窦动静脉瘘介入治疗、颅内巨大肿瘤术前供血动脉栓塞术等新技术。





图片


峨眉山市人民医院神经外科


图片

杨志敏

杨志敏,副主任医师,2002年毕业于泸州医学院临床医学系,从事神经外科 20 余年,曾在四川省人民医院及西南医科大学附属医院进修,师从全国知名神经介入专家黄昌仁教授,熟练掌握神经外科各种疾病诊治,尤其擅长颅内动脉瘤、 动静脉畸形等疾病的介入治疗。


峨眉山市人民医院咨询热线


急诊科:0833—5533727

本部挂号室:0833—5522847

城北病区挂号室:0833—5525115

24小时值班:0833—5522725

分享到: