|
我院始建于1945年,前身为峨眉县人民医院,1988年撤县设市(县级)更名为峨眉山市人民医院.. |
重点学科 技术优势 荣誉认证 |
龋齿在青少年中是常见病,多发病,牙齿的好坏不仅仅影响青少年正常的学习生活,并且对全身的健康都起着重要的作用。世界卫生组织为提高人类口腔保健水平,把口腔健康作为人体健康十大标准之一。 为促进少年儿童从小树立口腔保健的正确意识,养成口腔清洁的好习惯,9月19日,我院门急诊党支部的志愿者们以“全国爱牙日”为契机,与我院口腔科医疗团队一行前往四川博睿特外国语学校开展关爱口腔健康义诊服务... |
为贯彻落实《四川省“十四五”临床专科能力建设规划》,进一步加强我省重症医学科诊疗能力,四川大学华西医院组织实施“四川省二、三级医院重症医学科能力提升建设项目”,峨眉山市人民医院成为入选单位。 此次能够入选建设单位实施点,既是对我院重症医学科能力的一次全面检验,也是对我院重症医学服务能力及医院综合实力的充分肯定。 接下来我院还将在省级指导中心、区域分中心的组织指导下,进一步加强重症医学科... |
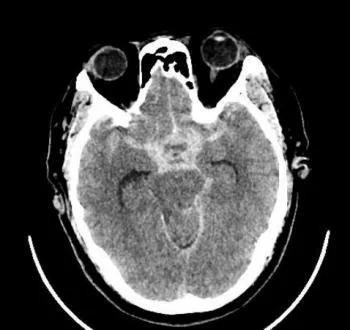
近日凌晨,峨眉山市人民医院急诊科接到内蒙古游客求救电话,55岁的鞠先生来峨眉旅游,突发剧烈头痛、呕吐,救护车随即出发,凌晨2点25分将患者接回医院,急诊头颅CT显示:大量蛛网膜下腔出血。神经外科副主任医师杨志敏立即前往急诊科会诊,根据多年丰富的临床经验,杨志敏医生判断患者为颅内动脉瘤破裂导致的蛛网膜下腔出血,急诊CTA影像结果提示:患者颅内前交通动脉及左侧大脑中动脉分叉处分别有9.5*7.7... |
“大笑会漏尿,走路要垫护垫,连抱孙子都不敢用力……”这是51岁吉女士过去几年的真实生活写照。像无数中年女性一样,她默默忍受着难以启齿的尴尬——压力性尿失禁,直到在峨眉山市人民医院妇科,一场微创手术彻底改变了她的生活。术后,她激动地说:“终于能挺直腰板走路了!”吉女士的困扰始于多年前。轻微运动、咳嗽甚至大笑时漏尿的尴尬,让她逐渐远离社交,甚至不敢长时间外出工作。“总觉得身上有味道,怕别人笑话。... |
近日,我院普外科在华西孟文建教授指导下再一次成功开展一例腹腔镜下直肠癌根治手术。患者手术顺利,目前稳定康复中。6月27日,71岁的兰大爷因大便习惯改变来到我院就诊。兰大爷的大便习惯改变的情况发生在一年前,彼时他以为是痔疮复发,没有引起重视,情况加重后来到我院进行系统性检查,结果诊断兰大爷为直肠腺癌。普外科团队在林永泉主任的带领下,为兰大爷制定了最佳手术方案和应急预案,在征求患者意愿及家属同意... |




|
|